人間の寿命は現在100歳と言われている中、70歳までは青春と言ってもそれは嘘ではないと感じますが、妊娠と出産において「年齢など関係ない」といえばそれはどうでしょうか?今回はそんな高齢出産の光と影について紹介していきます。
高齢出産の定義

写真: blog.livedoor.jp
産婦人科学的には出産予定日の妊婦の年齢が35歳を超えれば高齢出産と定義づけられています。ここで、何人目の子を産んだかというのは関係ありません。
高齢出産による合併症って?
自身の妊娠により、最も心配なことはなんといっても「子宮外妊娠」と「流産」。高齢での妊娠による子宮外妊娠の危険性は約4~8倍増加します。

写真: ikuji-log.net
子宮外妊娠とは?

写真: loveko.biz
子宮外妊娠とは、子宮内膜以外の部位、つまり卵管、子宮頸部、腹腔内で妊娠してしまうという現象です。初期に血液検査や、超音波検査で診断が可能です。初期で見つけることができれば薬物治療が可能なため、早めの病院での受診をおすすめします。
自然流産の危険性

写真: mamari.jp
高齢であるほど自然流産の確率が高いとされています。妊娠7週目以降、流産の確率に対するある研究によると、33歳未満の女性は9.9%、35~37歳は13.7%、38~40歳は19.8%、41~42歳は29.9%、そして42歳以上は36.6歳と、だんだん上がっていくことが明らかになっています。
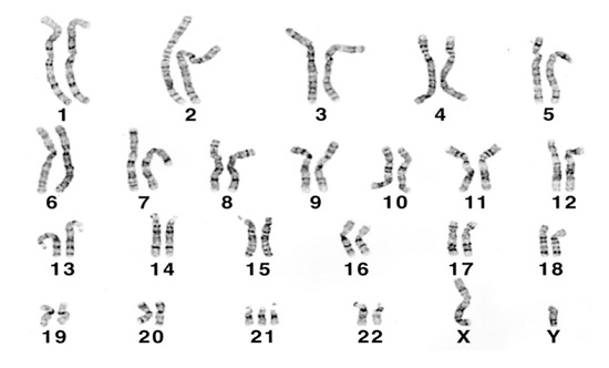
染色体異常&奇形児のリスク

写真: www.marianna-u.ac.jp
その次には染色体異常や、奇形児が生まれてくるというリスクが生じます。高齢になるにつれ、細胞分裂の過程で、染色体が分離しない現状が起こるためです。最も一般的なのは、21番の染色体の異常によるダウン症です。染色体は正常でも奇形児が生まれてくるのは、妊婦の年齢と関連があることは周知の事実ですが、代表的なのは心臓の奇形です。
高血圧、糖尿のリスク

写真: xn--eckp2g213n4zzb0j8bowg.com
また、妊婦の年齢と関連があるものとして、妊娠高血圧症候群(妊娠中毒症)、妊娠性糖尿病が代表的。老化自体が影響を及ぼす原因ではありますが、年齢を重ねるごとに慢性にかかりやすいとされています。胎盤異常もより頻繁に起こりやすく、妊娠初期であっても前置胎盤の危険性が増加します。前置胎盤は帝王切開をしなければならず、産後の出血の危険性が高いです。このような問題で胎児発育不全、早産、子宮内胎児死亡の危険が高まります。

写真: www.xn--p8j0a4an4o4a6e2711h.com
そして、妊婦は高齢であるほど多胎妊娠の可能性が高くなります。それは、人工授精や体外受精ではない自然妊娠の場合も同じです。高血圧、糖尿、前置胎盤、多胎妊娠は結局、合併症および死亡率に関連し、胎児と母体の健康を脅かします。
高齢出産での分娩

写真: www.nikkan-gendai.com
高齢出産であるほど難産の頻度がより高く、帝王切開での出産が増加します。ただ、高齢出産だからといって必ず帝王切開をしなければならない、というわけではないですが、妊婦や家族が陣痛を避け、手術を望む場合も多いですね。また高齢出産の際は、子宮口が完全に開いても胎児が通り道から出るまで時間がかかる場合が多いです。
高齢出産のメリットって?

写真: top.tsite.jp
それならば、高齢出産にはメリットが無いのでしょうか?もちろん肉体的健康の側面からみれば、35歳以前に妊娠と出産を経るのがいいとされていますが、高齢での出産は、その前の段階の準備期間がすでに備わっていることがほとんどですね。子供を育てるのは無限の忍耐、自制力、瞬発力、問題解決能力など、数多くの肉体的、精神的能力を必要とします。

写真: tamagoo.jp
もちろん、高齢だからといって完全に成熟している、というとは言い切れませんが、このような能力のほとんどは、高齢であればあるほど備わっている可能性が高いです。また、経済的にも安定しているので、子供を育てる環境は十分に整えられるといえるでしょう。
まとめ

写真: beautyanswers.jp
以上、高齢出産の光と影について紹介しましたが、高齢出産は圧倒的にリスクが多いということが分かりました。しかし、そのようなリスクも乗り越え、高齢でも素晴らしいママになっている方も多くいらっしゃるので、高齢出産だからといって悲観的になることは全く無いのではないでしょうか?
——————————————————————————————————
【必見!】絶景!?セクシー!?危険!?『屋上美女写真』が話題に!


